
When patients receive a PET scan report showing “hot spots” or areas of increased radiotracer uptake, the immediate concern often centres on cancer. However, the relationship between increased FDG (fluorodeoxyglucose) uptake and malignancy is far more nuanced than many realise….
Read more
Experiencing a rapid heartbeat upon awakening can be one of the most unsettling ways to start your day. This phenomenon, medically known as morning tachycardia, affects millions of people worldwide and can range from occasional episodes to persistent daily occurrences….
Read more
Magnetic resonance imaging (MRI) represents a crucial diagnostic tool in modern healthcare, yet patients with higher body mass index (BMI) often face unique challenges when undergoing these scans. The intersection of rising obesity rates and advanced medical imaging has created…
Read more
Metamucil, containing the active ingredient psyllium husk, stands as one of the most widely prescribed bulk-forming laxatives in modern healthcare. This soluble fibre supplement offers significant benefits beyond basic constipation relief, including cholesterol reduction, blood sugar regulation, and cardiovascular health…
Read more
Synthroid, the brand name for levothyroxine sodium, represents one of the most commonly prescribed medications worldwide, yet many patients struggle with understanding the critical importance of proper administration timing. The requirement to take this thyroid hormone replacement therapy on an…
Read more
The 96-hour mark represents a crucial turning point in alcohol recovery, when the most acute withdrawal symptoms begin to subside and the body enters a phase of accelerated healing. During these four days of abstinence, your nervous system undergoes remarkable…
Read more
The concurrent use of Adderall and Xanax represents one of the most concerning pharmaceutical combinations in modern medicine, yet millions of patients worldwide find themselves prescribed both medications simultaneously. This polypharmacy scenario occurs frequently when individuals require treatment for both…
Read more
The transition to post-gallbladder life often leaves patients wondering about their favourite foods, with pizza being amongst the most frequently questioned items. Following a cholecystectomy, your digestive system undergoes significant adaptations that directly impact how you process high-fat foods like…
Read more
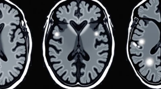
White spots appearing on brain MRI scans represent one of the most frequently encountered radiological findings in modern neuroimaging, yet they can cause considerable anxiety for patients and present diagnostic challenges for clinicians. These hyperintense signals, technically known as white…
Read more
The connection between upper respiratory infections and gastrointestinal symptoms often surprises patients who experience diarrhoea following what seemed like a straightforward head cold. While rhinoviruses, coronaviruses, and other common cold pathogens primarily target the respiratory tract, emerging research reveals complex…
Read more